
치과와 스파라는 단어가 함께 있는 걸 보고 의아해하시나요? “치과에서 무슨 스파를?” 하는 생각이 드는 게 당연합니다. 사실 저도 처음에는 그랬거든요.
그런데 알고 보니 재미있는 사실이 있더라고요. ‘스파’가 우리가 흔히 생각하는 호텔이나 리조트의 휴식 프로그램만을 의미하는 게 아니었습니다. 스파의 본래 의미는 ‘물을 활용해 건강을 증진하고 질병을 치료하는 모든 과정’을 뜻한다고 해요!
이런 ‘물을 이용한 건강관리’라는 개념이 이제는 치과 치료에도 적극적으로 도입되고 있습니다. 사실 우리가 집에서 사용하는 구강세정기도 이런 원리를 활용한 것이죠. 강한 수압으로 치석을 제거하는 이 기술은 이미 가정용으로는 많이 보편화되어 있었지만, 전문 치과 병원에서는 잘 사용되지 않았었습니다.
그러다 최근 EMS라는 회사가 혁신적인 기술을 개발했어요. 바로 GBT(Guide Biofilm Therapy)라는 치료법인데요, 이건 정말 치아를 위한 ‘프리미엄 스파’라고 할 수 있습니다. 마치 오래된 때를 고압 수압으로 씻어내듯이, 특수하게 설계된 물 분사 시스템으로 치태와 치석을 효과적으로 제거하는 첨단 기술입니다.
기존의 스케일링을 받으실 때 느끼셨던 불편함이나 통증은 거의 없어요. 대신 마치 치아가 고급스러운 스파를 즐기는 것처럼 상쾌하고 편안한 경험을 하실 수 있습니다. 게다가 치료 효과도 전통적인 방식 못지않게 뛰어나다고 해요.
이 신개념 구강 스파 GBT가 어떤 매력적인 치료법인지, 베트남에서 정식 GBT(Guide Biofilm Therapy)를 채용한 치과 라인덴탈의 이일홍 원장을 통해 자세히 들여다보시죠!
신개념 스케일링 GBT(Guide Biofilm Therapy)
GBT는 분사하는 물에 GBT 전용 특별한 마이크로 파우더를 섞어서 사용하게 됩니다(사진 1). 이를 통해 치아와 잇몸에 쌓인 치태와 치석을 부드럽고 정밀하게 제거하여, 구강 건강을 유지하는 데 도움을 줍니다. 전통적인 스케일링 방식과 달리, GBT는 잇몸 자극을 최소화하면서도 바이오필름(치태)을 효과적으로 제거하는 점이 특징입니다. 이를 통해 환자들은 통증 없이도 구강 청결을 유지할 수 있고, 잇몸 질환의 예방까지 기대할 수 있습니다.

[사진 1]: EMS 사의 Airflow 핸드피스에서 물과 마이크로 파우더가 함께 분사되고 있다
정리하자면 GBT의 차별점은 다음과 같겠습니다
1. 치료 방식의 차이
GBT (Guided Biofilm Therapy):
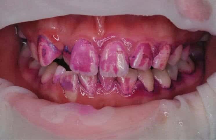
+ 바이오필름 제거에 집중: GBT는 치아와 잇몸에 쌓인 바이오필름(치태)을 제거하는 데 중점을 둡니다. 염색제를 사용해 치태를 시각적으로 확인한 후, 이를 정밀하게 제거하는 과정을 통해 진단과 치료의 정확도를 높입니다(그림 2)
+ 예방적 접근: GBT는 환자의 구강 건강을 유지하는 데 초점을 맞추고 있어, 예방적 치료로서도 효과적입니다. 장기적으로 충치, 구취 및 치주질환을 예방하는 데 큰 도움이 됩니다.

[그림 2] : GBT 염색약을 통해서 치태의 위치를 표시한 상태. 생각보다 많은 치태가 치면에 침착되어있음을 알 수 있다.
2. 환자 경험의 차이
+ GBT는 예방적이고 구강 스파라는 개념에 더 가깝습니다. 절차가 부드럽고 통증이 적기 때문에, 환자들은 긴장 없이 치료를 받을 수 있습니다.
+ GBT는 일반 스케일링에 비해서 치료 과정에서 소음과 통증, 불편함을 덜 느낄 수 있습니다. 따라서 치과 방문에 대한 두려움을 줄여드릴 수 있습니다.

저희 치과에 방문해주는 소아부터 청소년 친구들 중에 가끔 양치를 잘 하려고 노력하지만 잘 안되거나 혹은 잘 안 닦이고 있는 사실을 모르고 있는 친구들이 있습니다. 소아청소년기에는 치아가 아직 경화가 덜 되어서 충치에 매우 취약할 수 있습니다. 단단하게 붙은 치태와 치석을 GBT를 통해서 치료해서 환자들에게 현상태 파악과 양치질의 중요성을 전달해줄 수 있으며, 무엇보다 충치를 예방해줄 수 있다는 사실은 매우 강점으로보입니다.(그림 3). 또한 성인 환자분들 중에서 흡연과 커피 소비에 의한 착색은 쉽게 지워지지가 않습니다. 이런 환자분들께는 특히나 환한 인상을 줄 수 있는 GBT를 적극 권해드립니다(그림 4).

[그림 3] : 청소년기의 환자로 GBT를 통해서 치태를 완벽히 제거하여 충치 예방을 시행

[그림 4] : GBT를 통해 심한 착색도 완벽히 제거가 가능합니다.
예방이 곧 최고의 치료
“이가 없으면 잇몸으로 산다”는 속담, 많이 들어보셨죠? 하지만 건강한 잇몸도 없다면 어떻게 될까요? 치아 건강은 한번 잃으면 되돌리기가 정말 어렵습니다. 마치 무너진 둑을 복구하는 것보다, 튼튼한 둑을 잘 관리하는 것이 현명한 것처럼 말이죠.
여기서 GBT가 빛을 발합니다. 이 혁신적인 치료법은 마치 정원사가 정성스레 화단을 가꾸듯, 여러분의 구강 건강을 미리미리 관리해주는 든든한 파수꾼이 되어줄 거예요. 치태라는 불청객이 자리 잡기 전에 말끔히 제거하고, 정기적인 관리로 구강을 항상 상쾌하게 유지해주니까요.
치과 치료는 문제가 발생한 후에 받는 것이 아니라, 미리 예방하는 것이 중요합니다. 이번에 소개한 GBT는 이러한 예방적 관리를 완벽하게 실현하는 혁신적인 방법입니다. 바이오필름(치태)을 정기적으로 제거하고 구강 상태를 꾸준히 관리함으로써, 교민 여러분의 구강상태가 잇몸 질환이나 충치 같은 치과 질환으로부터 예방될 수 있도록 도움이 되길 바라봅니다.


